
Chapter 1: Systems of the Human Body
Chapter 1: Systems of the Human Body
The human body is an intricately coordinated structure comprising multiple systems, each performing specialized functions vital to maintaining life. Understanding these systems individually and collectively is fundamental to the study of anatomy.
1. Integumentary System
- Main Organs: Skin, hair, nails, sweat glands, sebaceous glands
- Functions: Protects the body, regulates temperature, sensory reception, synthesis of vitamin D.
- Tissue Types: Epithelial tissue (epidermis), connective tissue (dermis).
2. Skeletal System
- Main Organs: Bones, cartilage, ligaments, joints
- Functions: Supports and protects internal organs, facilitates movement, produces blood cells (hematopoiesis), stores minerals.
- Tissue Types: Osseous (bone) tissue, cartilage tissue, dense connective tissue.
3. Muscular System
- Main Organs: Skeletal muscles, smooth muscles, cardiac muscle
- Functions: Produces body movement, maintains posture, generates heat, stabilizes joints.
- Tissue Types: Muscle tissue.
Types of Muscles
- Skeletal Muscles:
- Characteristics: Voluntary, striated (striped appearance), attached to bones.
- Functions: Facilitates movement, posture maintenance, joint stabilization, and heat generation.
- Tissue Type: Skeletal muscle tissue.

- Smooth Muscles:
- Characteristics: Involuntary, non-striated, found in the walls of hollow organs (e.g., intestines, blood vessels, bladder).
- Functions: Controls movement of substances within organs, regulates blood flow, aids digestion and urination.
- Tissue Type: Smooth muscle tissue.
- Cardiac Muscle:
- Characteristics: Involuntary, striated, found only in the heart.
- Functions: Pumps blood through the heart and circulatory system, maintains rhythmic contractions and heartbeat.
- Tissue Type: Cardiac muscle tissue.
4. Nervous System
- Main Organs: Brain, spinal cord, peripheral nerves, sensory receptors
- Functions: Coordinates bodily activities, responds to stimuli, processes sensory information, regulates body functions.
- Tissue Types: Nervous tissue.
5. Endocrine System
- Main Organs: Pituitary gland, thyroid gland, adrenal glands, pancreas, ovaries, testes
- Functions: Regulates metabolism, growth and development, tissue function, sexual function, reproduction, mood, sleep, and homeostasis through hormones.
- Tissue Types: Glandular epithelial tissue.
6. Cardiovascular System
- Main Organs: Heart, blood vessels (arteries, veins, capillaries), blood
- Functions: Transports nutrients, oxygen, hormones, waste products; regulates body temperature, maintains fluid balance.
- Tissue Types: Cardiac muscle tissue, connective tissue, endothelial tissue.
7. Lymphatic System
- Main Organs: Lymph nodes, lymph vessels, spleen, thymus, tonsils
- Functions: Maintains fluid balance, transports dietary fats, aids immune response, filters pathogens from lymph fluid.
- Tissue Types: Lymphoid tissue (reticular connective tissue).
8. Respiratory System
- Main Organs: Nasal passages, pharynx, larynx, trachea, bronchi, lungs
- Functions: Gas exchange (oxygen intake and carbon dioxide removal), regulates blood pH, vocalization.
- Tissue Types: Epithelial tissue, connective tissue, smooth muscle tissue.
9. Digestive System
- Main Organs: Mouth, esophagus, stomach, small intestine, large intestine, liver, pancreas, gallbladder
- Functions: Breakdown and absorption of nutrients, elimination of waste, synthesis of certain vitamins.
- Tissue Types: Epithelial tissue, smooth muscle tissue, connective tissue.
10. Urinary System
- Main Organs: Kidneys, ureters, urinary bladder, urethra
- Functions: Excretes waste products from blood, regulates water and electrolyte balance, maintains blood pressure and pH.
- Tissue Types: Epithelial tissue, smooth muscle tissue.
11. Reproductive System
- Main Organs (Male): Testes, epididymis, vas deferens, prostate gland, penis
- Main Organs (Female): Ovaries, fallopian tubes, uterus, vagina, mammary glands
- Functions: Produces gametes (sperm and eggs), hormone production, facilitates fertilization, embryonic development, childbirth, lactation.
- Tissue Types: Epithelial tissue, connective tissue, muscle tissue.
Integration of Systems
Each body system interacts continuously with others, maintaining a state of homeostasis essential for survival. Dysfunction in one system often affects others, underscoring the interdependent nature of human anatomy.
Tissue Types in the Human Body
Tissues are groups of cells that work together to perform specific functions within the body. Understanding the characteristics and roles of different tissue types is foundational to comprehending human anatomy and physiology. The human body consists of four primary tissue types:
1. Epithelial Tissue
- Characteristics:
- Covers body surfaces and lines internal organs and cavities
- Forms glandular structures
- Has minimal extracellular material, cells closely packed
- Avascular (lacks direct blood supply), nutrients diffuse from underlying tissues
- Functions:
- Protection (skin)
- Absorption (intestinal lining)
- Secretion (glands)
- Filtration (kidneys)
- Sensory reception (skin, sensory organs)
Epithelial Tissue.
Squamous epithelial cells.
Ciliated epithelial tissue. 
2. Connective Tissue
- Characteristics:
- Most abundant and widely distributed tissue type
- Consists of cells embedded in extracellular matrix (ground substance and fibers)
- Richly vascularized (except cartilage and tendons)
- Functions:
- Structural support and protection (bone, cartilage)
- Connecting and binding structures together (tendons, ligaments)
- Storage (adipose tissue stores energy)
- Transport (blood)
- Immune defense (lymphatic tissues)
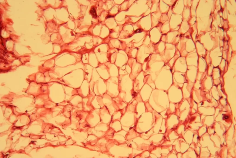
Connective tissue.
Loose connective tissue.
Adipose tissue. 
3. Muscle Tissue
- Characteristics:
- Highly cellular, well-vascularized
- Cells contain contractile proteins (actin and myosin) enabling contraction
- Types and Functions:
- Skeletal Muscle: Voluntary movements, posture, heat generation
- Smooth Muscle: Involuntary movements, controls organs (digestive tract, blood vessels)
- Cardiac Muscle: Involuntary rhythmic contractions, blood circulation
Muscle Tissue. 
4. Nervous Tissue
- Characteristics:
- Composed of neurons (nerve cells) and neuroglia (supportive cells)
- Specialized for rapid transmission of electrical signals
- Functions:
- Coordinates and controls body activities
- Transmits nerve impulses for communication and response

Importance of Tissue Integration
Each tissue type plays a critical role individually, but their integration is essential for organ function and overall homeostasis. Dysfunction at the tissue level can significantly impact health, highlighting the importance of understanding tissue types and their interactions.
Topics in this lesson
🎓 Want to become a certified instructor?
This lesson is part of our FREE Calisthenics Instructor Certification course. Create a free account to track your progress and earn your certificate!